7番欠損(6番は残存)時の治療法%ef%bc%97%e7%95%aa%e6%ac%a0%e6%90%8d%ef%bc%88%ef%bc%96%e7%95%aa%e3%81%af%e6%ae%8b%e5%ad%98%ef%bc%89%e6%99%82%e3%81%ae%e6%b2%bb%e7%99%82%e6%b3%95
「右上/右下/左上/左下の7番(第2大臼歯)」が欠損したときの選択肢
対象:片側7番欠損— 7番欠損は咀嚼効率・咬合安定に影響しやすい部位です。
代表的な選択肢は①インプラント、②1歯用の部分入れ歯、③何もしないの3つ。まずは違いを短く整理し、詳しくはリンク先へ。
① インプラント(第一選択になりやすい)
欠損部の骨に人工歯根を埋入し、その上に被せ物を装着。隣在歯を削らない/清掃性◎/骨量維持に寄与が特長。
- メリット:両隣の歯を守る/噛み心地が自分の歯に近い/長期安定が期待
- デメリット:外科処置が必要/治療期間が長め/全身状態・骨量に影響
② 1歯用の部分入れ歯(可撤式)
取り外し式の装置。外科なし/費用を抑えやすい一方、鉤歯(支えの歯)への負担や清掃難易度が課題。
- メリット:外科なし/適応範囲広い/費用を抑えやすい選択肢も
- デメリット:鉤歯のう蝕・歯周炎・動揺のリスク/装着感・審美の許容が必要
当院の見解:入れ歯は支えている歯をダメにしやすい傾向。選ぶなら清掃性と適合に優れた保険外(自費)設計を推奨します。
③ 何もしない(非推奨)
時間とともに対合歯の挺出(スーパーループション)や、欠損隣在歯の傾斜・移動、食片圧入、咬合変化が生じやすく、後の治療が複雑化・高額化する傾向があります。
- 起こりうること:対合歯挺出/隣在歯の傾斜・空隙/咬耗・咀嚼効率低下/顎堤の骨吸収
- 注意:放置期間が長いほど、後でインプラントや補綴の前処置(矯正的圧下、骨造成等)が必要になる場合があります。
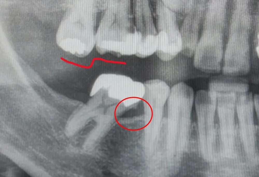
何もしないと…対合歯が挺出して咬合が崩れます
欠損部と咬み合う歯は、接触が失われると時間経過で挺出・傾斜・回転しやすく、咬合平面の乱れや清掃不良を招きがちです。
※図はイメージです。実際の対処法は症例により異なります。
比較の早見表(7番欠損・片側1歯)
| 観点 | インプラント | 1歯入れ歯 | 何もしない |
|---|---|---|---|
| 隣在歯への影響 | 削らない/守れる | 鉤歯に負担(う蝕・歯周炎・動揺リスク) | 傾斜・空隙化が進む |
| 清掃性 | 歯間清掃◎(フロス・歯間ブラシ可) | 装置・鉤周囲でプラーク停滞しやすい | 食片圧入が増えやすい |
| 骨量への影響 | 機能刺激で骨維持に寄与 | 骨維持効果は限定的 | 骨吸収が進行しやすい |
| 治療期間 | 外科・治癒で長め | 短め | — |
| 長期安定 | 症例により最有力 | 鉤歯の管理がカギ | 咬合崩壊リスク上昇 |
| 費用感 | 自費 | 保険/自費あり(自費推奨) | 短期費用0でも将来コスト増の可能性 |
当院の考え(まとめ)
- インプラント:全身状態・骨量が許せば、隣在歯を守り、清掃性・機能性・長期安定が見込める第一選択になりやすい治療です。
- 1歯入れ歯:外科なしで短期回復が利点。ただし鉤歯のう蝕・歯周リスク管理は不可欠。選ぶなら自費設計を推奨。
- 何もしない:対合歯の挺出・隣在歯の傾斜・骨吸収などが進行し、後の治療が複雑・高額化しやすい傾向。
まずはCT等で骨量をチェックし、最短経路でインプラントをご提案
※当院は静脈鎮静なし。必要時は提携先をご案内/メーカー:ノーベルバイオケア
